党委信箱 | 院长信箱 | English | 投稿专线

医疗新闻

当前位置:首页 > 医疗新闻

湘雅三医院病理科借助先进测序技术实现疑难乳腺疾病精准诊断

党总支:第八党总支 科室:病理科 作者:付华 时间:2025-09-19 点击数:
打印 打印 字号:T| T

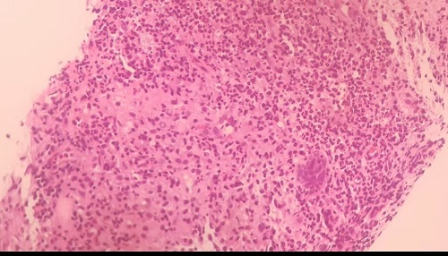
9月17日,中南大学湘雅三医院病理科凭借基于石蜡切片的病原探针捕获法病源测序技术(MetaPathTM),成功为一名37岁乳腺肉芽肿性病变患者明确病因诊断,为后续精准治疗提供关键依据,切实解决了临床诊疗中的难点问题,彰显了医院在病理诊断领域的技术优势与服务能力。

该患者因发现乳房肿块20余天就诊,临床初步考虑为急性乳腺炎,经两周抗感染治疗,肿块不仅未消退反而逐渐增大。为明确病因以制定有效治疗方案,医疗团队为患者安排乳腺穿刺检查。病理医生在显微镜下观察到穿刺标本存在典型肉芽肿性炎改变,可见上皮样细胞构成的结节样病灶,但病因却难以确定究竟是结核、真菌等特殊感染,还是年轻女性中常见的肉芽肿性小叶性乳腺炎?这一疑问成为治疗方案制定的关键卡点。

肉芽肿性病变因其病因复杂、形态学表现相似,被称为病理诊断中的“变形金刚”,而肉芽肿性小叶性乳腺炎更是因临床表现、影像学特征与乳腺癌等难以鉴别,有着“伟大模仿者” 的称号。传统诊断常需多次活检与漫长实验室培养检查以排除感染性病因,若无法明确病因,患者可能面临反复感染、红肿流脓,甚至需要手术切除的风险。面对患者及临床团队对明确诊断的迫切需求,病理科团队并未局限于传统形态学观察与常规检测技术,而是积极引入先进的MetaPathTM技术,为患者制定个性化检测方案。最终,通过该技术对石蜡切片样本进行检测,成功检出克罗彭施泰特棒杆菌,检测结果结合病理形态和临床支持“肉芽肿性小叶性乳腺炎” 诊断,为临床制定精准诊疗计划提供了关键依据。值得关注的是,MetaPathTM技术可直接利用石蜡切片检测,无需额外活检,既减少患者创伤、降低医疗费用,又能提升检测针对性与病原检出率。

病理科始终以精准诊断为目标,面对疑似特殊感染却缺乏病原学证据的困境时,积极借助先进技术突破诊断瓶颈。此次MetaPathTM技术的成功应用,不仅为患者带来了切实获益,更标志着医院在病理精准诊断领域迈出了坚实一步。未来,病理科将持续以病理形态学为基础,加强新技术引进与应用,不断提升诊疗水平,为广大患者提供更优质、更精准的医疗服务,为守护群众健康贡献更大力量。

一审:初令    二审: 张璟茗     三审:彭景舆
分享到:
预约挂号:0731-88618576、88618577   急救电话:0731-88618120

医院地址:湖南省长沙市河西岳麓区桐梓坡路138号 中南大学湘雅三医院 版权所有

湘教QS3-200505-000574 备案序号:湘ICP备05001139号 今日访问人数:6312 总访问人数:589890377

技术支持:长沙网站建设-国捷人工智能