党委信箱 | 院长信箱 | English | 投稿专线

医疗新闻

当前位置:首页 > 医疗新闻

核医学科紧急为一名危重患者实施PET-CT检查

党总支:第六党总支 科室:核医学科 作者:周小霞 梁艳 时间:2025-01-07 点击数:
打印 打印 字号:T| T

1月3日上午,中南大学湘雅三医院核医学科通力协作为一名危重患者成功实施PET-CT检查,为诊断和治疗提供了关键依据。

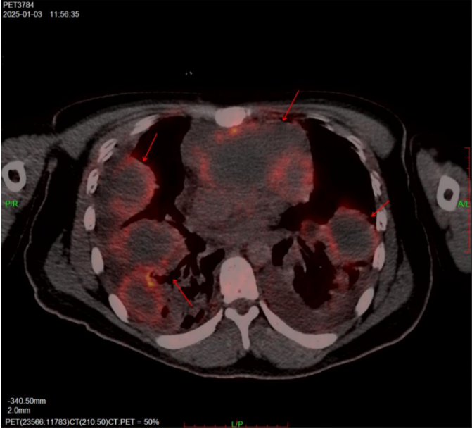
该男性患者,22岁,来自衡阳,因发现前纵膈肿物伴双肺多发病变转入中南大学湘雅三医院进一步诊疗。入院后,患者在CT引导下接受了右上肺肿块穿刺活检术,但病理结果未见恶性肿瘤证据。随后,患者病情迅速恶化,表现为呼吸困难、心率及呼吸急促,血氧饱和度吸氧状态下仍低于94%,伴有间断发热、气促、咳痰及无法平卧,初步考虑前纵膈肿物压迫纵膈大血管并合并肺部感染。为尽快明确病因并制定治疗方案,需尽早完善PET-CT检查。然而,由于患者病情危重且无法平卧,检查实施难度极大。

在病房医护人员的陪护下,患者次日上午以半坐卧位状态、持续吸氧并动态监测生命体征的情况下前往核医学科。面对这一高风险挑战,核医学科主任赵敏迅速启动应急方案。在科室医护技团队的通力协作下,患者顺利完成了PET-CT检查。最终,检查结果提示前纵膈恶性生殖细胞瘤伴双肺多发转移的可能性大,为下一步治疗决策提供了至关重要的依据。

赵敏表示,此次检查是核医学科首次为危重患者实施PET-CT检查,是一场与生命赛跑的关键诊断。此次成功操作不仅为患者争取了宝贵的治疗时间,也彰显了科室应急能力和技术水平。

PET-CT作为一种融合功能代谢显像(PET)与解剖结构显像(CT)优势的先进医学影像技术,可提供全身断层图像,精准定位病灶。自技术应用以来,PET-CT在肿瘤的早期发现、诊断精确性提升方面成效显著,同时为穿刺活检定位、疗效评估及预后预测提供了强有力支持。随着技术的不断进步与临床推广,PET-CT将在肿瘤诊治领域发挥更为重要的作用,为更多患者带来生命的希望。

一审:赵敏    二审: 宋楚乔     三审:彭景舆
分享到:
预约挂号:0731-88618576、88618577   急救电话:0731-88618120

医院地址:湖南省长沙市河西岳麓区桐梓坡路138号 中南大学湘雅三医院 版权所有

湘教QS3-200505-000574 备案序号:湘ICP备05001139号 今日访问人数:18032 总访问人数:589913817

技术支持:长沙网站建设-国捷人工智能