党委信箱 | 院长信箱 | English | 投稿专线

医疗新闻

当前位置:首页 > 医疗新闻

心血管内科完成湖南省首例准分子激光消融导管治疗冠脉支架内机化血栓病例

党总支:第一党总支 科室:心血管内科 作者:黄伟 盛喆 时间:2024-12-26 点击数:
打印 打印 字号:T| T

12月16日,在心内科主任蒋卫红的带领下,中南大学湘雅三医院心血管内科冠心病介入团队曹宇教授、黄伟副教授采用准分子激光消融导管(ELCA)成功治疗了一例冠脉支架内机化血栓病例。据悉,该病例为湖南省首例准分子激光消融导管治疗冠脉支架内机化血栓病例。

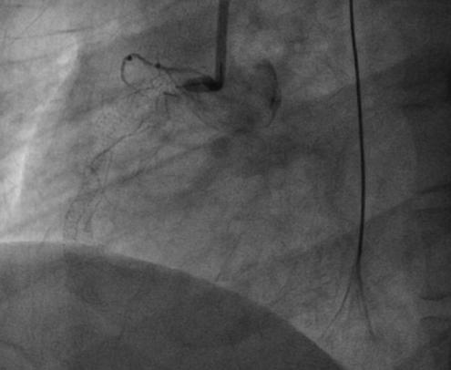
患者李先生,41岁,既往因反复胸痛1月余,就诊于当地医院,就诊时突发意识丧失伴休克血压,予以ECMO辅助下成功行右冠PCI治疗后,患者病情稳定。出院后未规律服用阿司匹林及替格瑞洛药物,7天前再发心前区疼痛不适,再次就诊当地医院行冠脉造影示:右冠近段支架内闭塞,予以冠脉内血栓抽吸及溶栓治疗后,右冠血流仍未能恢复。经当地医院治疗一周后转入中南大学湘雅三医院心内科,复查冠脉造影示:右冠支架内完全闭塞(图1)。经科室讨论后,认为传统冠脉内抽栓及溶栓无法解决该患者的顽固性机化血栓问题,决定采用目前治疗冠脉机化血栓最先进的技术—准分子激光消融导管(ELCA)进行治疗。

图1.右冠支架内完全闭塞

图2.支架内可见弥漫性血栓

手术中导丝通过闭塞病变后完善冠脉内超声检查(IVUS),发现血管内充斥着大量血栓,且血栓已机化(图2)。仔细评估后决定,运用准分子激光消融导管(ELCA),帮患者重新疏通血管。经ELCA处理后,IVUS可清晰显示右冠支架内机化血栓明显减少(图4)。此后,曹宇教授对患者右冠采用药物支架及药物球囊联合处理后,右冠血流恢复正常且无残余狭窄(图3)。

图3.治疗后右冠血流恢复正常

图4.ELCA治疗后IVUS显示血栓消除

准分子激光消融导管(ELCA)技术是使用直径较小的激光导管,以惰性卤化物为激光介质,发射出波长为308nm的高强度单向紫外线光波,通过光化学效应、光热效应和光机械效应均匀地消融血栓或斑块,达到有效减容血栓或斑块的效果。相比传统的冠脉内血栓抽吸及溶栓治疗,该方法更加有效并且安全性好,为处理冠脉内顽固性血栓提供了新思路。在蒋卫红主任及曹宇教授的带领下,中南大学湘雅三医院心血管内科冠心病介入团队不断摸索创新,坚持引进国内外各项先进技术,已成为省内顶级复杂冠脉介入治疗中心之一,左主干病变、钙化病变、CTO病变等复杂冠脉病例都处于省内前列,为我省人民的心血管健康提供了有利保障。

一审:蒋卫红    二审: 张璟茗     三审:彭景舆
分享到:
预约挂号:0731-88618576、88618577   急救电话:0731-88618120

医院地址:湖南省长沙市河西岳麓区桐梓坡路138号 中南大学湘雅三医院 版权所有

湘教QS3-200505-000574 备案序号:湘ICP备05001139号 今日访问人数:18105 总访问人数:589913963

技术支持:长沙网站建设-国捷人工智能