“我感觉胸口一点儿也不闷了,好舒服啊!”王阿姨(化名)不禁感叹。近日,中南大学湘雅三医院心内科张志辉教授领导的结构性心脏病团队(叶飞主治医师、陈晨阳主治医师、罗文治主治医师)联合麻醉科(尹欣林教授)、放射科、超声科、心外科(王电军教授)、护理部等多学科团队成功为一例重度主动脉瓣狭窄的老年女性患者植入自膨式瓣膜,这是中南大学湘雅三医院完成的首例自膨式主动脉瓣膜植入。
王阿姨是一位退休职工,近日因“心脏永久起搏器植入术后电池耗竭”入院更换心脏永久起搏器,王阿姨很顺利地更换了心脏起搏器,但是在检查过程中又发现了新的心脏问题,心脏彩超提示:主动脉瓣瓣缘增厚、钙化、粘连,开放受限,估测瓣口面积0.71c㎡,峰值流速5.04m/s,平均跨瓣压差为49mmHg;LA 34mm,LV 36mm,IVS 13mm,AAO 41mm,LVEF 75%。结论:1、主动脉瓣钙化并重度狭窄;2、左室肥厚;3、升主动脉内径增宽;4、二尖瓣、三尖瓣轻度反流;5、左室舒张功能减退。张志辉教授团队结合这一结果,耐心地向阿姨讲解了不同治疗方式的区别,开胸手术及微创介入手术的利弊和远期预后。王阿姨因不能接受外科开胸手术创伤大且恢复周期长的特点,强烈要求行微创瓣膜置换术。张志辉教授团队通过详细的术前评估,充分考虑患者手术风险及获益,经与患者及家属充分沟通后,决定采用创伤小、恢复快的经皮主动脉瓣膜置换术(TAVR)手术方式缓解患者病痛。王阿姨经过多方咨询和家属统一商量后,最终决定选择中南大学湘雅三医院心内科心脏结构团队为其手术治疗。
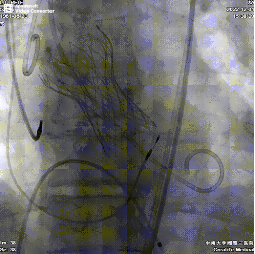
术前经过充分的CT评估,患者属于Type1型二叶式主动脉瓣,瓣叶增厚伴中重度钙化,左冠瓣叶钙化明显,R-N间可见钙化融合嵴,左室流出道呈稍敞口型。左右冠开口高度尚可,左右冠切线位瓣叶长度<冠脉开口到瓣叶附着缘距离。手术采用采用全麻+TTE的手术方式,以右侧股动脉为主入路,左侧股动脉为辅助入路。使用18mm球囊充分预扩,预装AV23瓣膜,瓣环上0-2mm定位释放,释放后多角度观察瓣膜释放形态及植入深度后,位置良好,冠脉血流灌注正常,微少量瓣周漏,跨瓣压差由术前的54mmHg降至术后的3mmHg。
手术没有“伤口”,心脏换了个瓣膜。整个手术时间持续仅仅不到一个小时,患者术后即刻感觉胸闷症状明显改善,术后12小时可以下床活动。经过张志辉教授团队的精心护理,患者术后第3天于12月4日康复出院。随着患者的顺利出院,标志着中南大学湘雅三医院心脏结构团队诊疗技术迈上新台阶。
心脏主动脉瓣狭窄分为先天性狭窄和后天性狭窄,临床上后天性狭窄多见,其狭窄原因主要是风湿性心脏瓣膜病变和老年退行性心脏瓣膜病变。随着卫生及经济水平的发展,老年退行性心脏瓣膜病变近些年逐渐增多,主要由年龄增长和长期的超负荷工作等原因所导致。主动脉瓣狭窄是心脏结构性疾病,会导致胸闷、心衰、晕厥等症状,严重时可引起心源性猝死。对于轻-中度狭窄以药物治疗为主,药物治疗的目的也是延缓疾病进展,无法治愈疾病,因此对于主动脉瓣重度狭窄患者的治疗方式主要是外科手术和微创介入治疗。相对于传统开胸手术,微创介入手术具有创伤小(无伤口)、恢复快、出血量少、术中即刻效果显著、术后12小时即可下床活动,术后第3天即可出院、并发症少等诸多优势。目前经皮主动脉瓣置换术采用的瓣膜分为球囊扩张式瓣膜和自膨式主动脉瓣膜,自膨式瓣膜具有可以多次释放的优势,对于手术过程中瓣膜的精准定位提供了更多的机会。
中南大学湘雅三医院心内科心脏结构张志辉教授团队从事结构性心脏病的介入诊治二十余年,完成结构性心脏病介入手术近2000余例。对于房间隔缺损、室间隔缺损、动脉导管未闭、卵圆孔未闭、主动脉瓣狭窄、二、三尖瓣重度返流、肺动脉瓣狭窄等结构性心脏病诊治水平位于省内前列。
张志辉教授门诊时间:每周一全天(08:00-12:00、14:30-17:30)
[上一篇] 新生儿重症监护病房联合麻醉科再次成功挑战...
[下一篇] 医院举行危重烧伤患者医护联合大查房...
人民网 | 新华网 | 中华人民共和国国家卫生健康委员会 | 中华人民共和国教育部 | 湖南省政府 | 红网 | 湖南省卫生健康委员会 | 湖南省教育厅 | 中南大学 | 湘雅医学院 | 湘雅医院 | 湘雅二医院 | 协和医院 | 华西医院 | 西京医院 | 瑞金医院 | 复旦中山医院 | 武汉同济医院 | 中山医院
医院地址:湖南省长沙市河西岳麓区桐梓坡路138号 中南大学湘雅三医院 版权所有
湘教QS3-200505-000574 备案序号:湘ICP备05001139号 今日访问人数:142459 总访问人数:567178606