党委信箱 | 院长信箱 | English | 投稿专线

医疗新闻

当前位置:首页 > 医疗新闻

神经内科神经介入亚专科团队成功开展多例脑干血肿体表激光立体定向穿刺引流术

党总支:第五党总支 科室:神经内科 作者:李小波 周家豪 袁毅 时间:2022-03-25 点击数:
打印 打印 字号:T| T

2月16日晚上9时许,47岁的姜某因突发意识丧失伴四肢抽搐送至中南大学湘雅三医院神经内科急诊抢救室。经头部CT检查发现患者脑为干出血。医院神经内科袁毅主任医师、李小波副主任医师、陈益伟主治医师及谢笃杰主治医生等医护人员组成的神经介入团队立即处置,经体表激光立体定向下脑干血肿穿刺清除术,患者转危为安,并于3月18日顺利出院。

据了解,患者送至医院时已经神志昏迷,呼之不应,任凭家属和医生如何呼唤他均没有任何应答与动作。神经内科急诊医生紧急予以完善头部CT,发现患者脑干出血。脑干出血是所有脑出血中最为凶险的类型,预后极差,此时任何的拖延与迟疑均可能将患者推向悬崖边缘。神经内科急诊医生立即与患者家属交代目前病情,紧急与家属沟通并取得同意后,立即邀请神经介入亚专科团队进行抢救。

入夜越来越深,整个抢救室内的氛围变得焦灼且紧张。团队成员立即对姜某进行体表激光立体定向下脑干血肿穿刺引流;经过1个小时的定位、穿刺、放置引流管,患者由中昏迷转为浅昏迷,生命体征逐渐平稳,术后转入医院神经内科重症监护室继续观察治疗。

术后第一天,患者仍为浅昏迷状态,但在刺激下可见患者四肢收缩,复查头部CT发现脑干血肿较前明显减少。经神经内科重症监护室医护人员为其制定了专业的诊疗计划,随后团队成员持续术后关注,并向穿刺引流管中注射溶解血肿块的药物。随后,患者逐渐有了意识,对于外界的呼唤有了反应,对外界的刺激产生了回应。

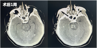
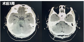
术后一周再次复查CT显示脑干中的血肿明显较前减少。直至三周后,再次复查CT,患者已经没有血肿块,意识较前明显好转,遂转入普通病房继续治疗。在普通病房,患者还同时接受专业的康复训练和中医针灸治疗,患者四肢活动较前好转,目前,已出院至康复医院继续进行康复训练。

袁毅教授表示:“脑干出血占临床脑出血病例的10%左右,发病率虽然不高,但起病急,病情凶险,预后较差,是所有脑血管病中病死率及致残率最高,预后最差的一类脑血管病变。脑干出血首次多为突然头痛、眩晕、呕吐、复视、眼球不同轴、侧视麻痹、交叉性瘫痪或偏瘫、四肢瘫等。大量出血(>5ml)时,血肿波及脑桥双侧基底和被盖部,患者很快进入意识障碍,甚至死亡。”

李小波副教授介绍:“长期以来,脑出血发病急骤,特别是脑干区域出血,外科手术在脑干区域进行时操作困难。而且脑干区域的血肿可以直接毁伤脑干心跳及呼吸中枢,其中出血量大于7ml的中大量的脑干出血患者,绝大多数面临着植物生存和死亡的结局。在体表激光立体定向脑干血肿穿刺引流术在临床上推广开展前,救治成功且预后良好的病例屈指可数。由于脑干出血整体上预后不佳,因此治疗的传统观点:出血部位特殊,手术难度大,风险大,认为手术治疗价值有限,而偏向保守治疗,较少选择外科治疗。事实上由于体表激光立体定向技术的应用越来越成熟,脑干禁区的概念已经被打破,体表激光立体定向穿刺脑干血肿也正在医院神经内科积极地开展。”

中南大学湘雅三医院神经内科神经介入亚专科团队已于2006年在湖南省率先开展神经介入工作,技术实力雄厚,人员梯队完整,能全面熟练开展急性脑梗死动脉取栓、颅内动脉瘤栓塞、脑动静脉畸形栓塞以及脊髓血管畸形栓塞等各种神经介入手术,成功救治了大量患者,为省内外培育了多位神经介入手术医师,是湖南省主要的神经介入技术中心之一。

近年来,中南大学湘雅三医院神经内科神经介入亚专科团队在湖南省率先开展体表激光立体定向脑干血肿穿刺引流术,同时开拓激光立体定向深部颅内血肿(如:丘脑、基底节区)穿刺引流术,目前已成功开展数十例,患者均取得良好疗效。结合已开展的脑血管造影及介入治疗术等,提升自发性脑出血的诊疗水平,为医院发展、百姓健康做出贡献。

预约挂号:0731-88618576、88618577   急救电话:0731-88618120

医院地址:湖南省长沙市河西岳麓区桐梓坡路138号 中南大学湘雅三医院 版权所有

湘教QS3-200505-000574 备案序号:湘ICP备05001139号 今日访问人数:66295 总访问人数:567475445

技术支持:长沙网站建设-国捷人工智能