党委信箱 | 院长信箱 | English | 投稿专线

医疗新闻

当前位置:首页 > 医疗新闻

迟来的春节团聚——重症肺炎患者,熬过生死喜出院

党总支:第一党总支 科室:呼吸与危重症医学科 作者:刘清香 刘纯 时间:2022-03-03 点击数:
打印 打印 字号:T| T

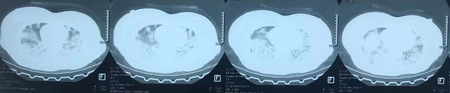
2022年1月21日,湘雅三医院内科ICU收治了一位34岁的重症乙型流感病毒肺炎患者,因抗病毒时机延迟,继发细菌感染,病情反复,多次生死一线,通过呼吸与危重症医学科、内科ICU护理团队、药学部、营养科、康复科、耳鼻喉科等多学科MDT合作,患者于2022年2月28日顺利出院。

据悉,34岁的患者史某于1月中旬出现发热、咳嗽,初期考虑为“普通感冒”,在当地医院治疗一周后病情加重,肺部CT提示双肺病变,1月21日转入湘雅三医院急诊,因“呼吸衰竭”行气管插管呼吸机辅助呼吸后转入内科ICU,呼吸与危重症医学科刘纯主任医师团队立即开展救治。

重症肺炎患者,病原体不明,刘纯凭借多年的呼吸危重症抢救经验,积极迅速地收集临床资料、完善相关检查,很快锁定病原体——乙型流感病毒。但由于抗病毒时机太晚,治疗效果欠佳,紧接着并发耐药细菌感染,肺部情况反复恶化,多次生死一线。在多学科MDT合作下,团队为患者制定了周密严谨的个性化治疗方案。

经过1个多月的严密监测与抢救,患者病情日渐好转,顺利出院。患者高兴地告诉我们,老公、儿女、父母、哥哥、朋友等都在家里,准备了大餐等着她回家,今天她们家过大年。

预约挂号:0731-88618576、88618577   急救电话:0731-88618120

医院地址:湖南省长沙市河西岳麓区桐梓坡路138号 中南大学湘雅三医院 版权所有

湘教QS3-200505-000574 备案序号:湘ICP备05001139号 今日访问人数:142620 总访问人数:567178928

技术支持:长沙网站建设-国捷人工智能