党委信箱 | 院长信箱 | English | 投稿专线

医疗新闻

当前位置:首页 > 医疗新闻

医院脊柱神经肿瘤MDT团队“拆弹”纪实

党总支:第五党总支 科室:骨科 作者:冯浩铭 王卫国 李劲松 时间:2020-08-18 点击数:
打印 打印 字号:T| T

8月7日,中南⼤学湘雅三医院脊柱外科联合神经外科为⼀名10岁⼩男孩成功拆除颈部“炸弹”,该患者已于17日康复出院。

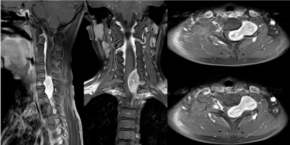
据了解,患者李明明(化名)今年10岁,半年前出现走路不稳容易跌倒,左手无力握物不稳。在当地医院⾏颈椎MRI检查提⽰颈椎管内肿瘤,其⽗母拿到结果后惊慌失措,知道此病非同小可,听闻中南大学湘雅三医院脊柱外科在脊柱肿瘤诊治⽅⾯有着丰富的经验,便慕名前来。

患者所患肿瘤位于C5-T1平⾯椎管内,椎管80%空间已被肿瘤侵占,颈段脊髓受压非常严重。如肿瘤继续生长或者轻微外伤,患者就会完全性截瘫,犹如颈部被安放了一颗炸弹,一旦引爆,后果不堪设想。


湘雅三医院脊柱外科邓幼⽂教授、臧晓方教授、王剑龙教授、王卫国主治医师,及神经外科王知非教授、吴光勇副教授、颜辉主治医师等,联合肿瘤科专家、医学影像专家迅速启动MDT诊治模式,对患者的病情进⾏了详细的评估。通过完善增强三维CT、增强核磁共振、数字化3D肿瘤模型,彻底摸清肿瘤和周围神经、血管、骨骼的毗邻关系,制定了详尽而周密的⼿术计划——完整切除肿瘤并防止误伤颈部神经血管。

脊柱外科主任邓幼文教授和神经外科主任王知非教授联袂主刀,历时6小时成功将这枚颈部“炸弹”成功拆除,颈部神经毫发无伤。术后一周,患者肌力感觉基本恢复正常,已下地行走。

中南大学湘雅三医院脊柱神经肿瘤MDT团队,由多名脊柱外科专家、神经外科专家、肿瘤专家、及医学影像专家组成,并与上海长征医院脊柱外科专家肖建如教授团队达成长期战略合作伙伴关系。近年来陆续开展了各类高难度脊柱肿瘤切除手术,为⼴⼤脊柱肿瘤患者家庭带来了希望,用仁心和仁术赢得良好的社会声誉。

预约挂号:0731-88618576、88618577   急救电话:0731-88618120

医院地址:湖南省长沙市河西岳麓区桐梓坡路138号 中南大学湘雅三医院 版权所有

湘教QS3-200505-000574 备案序号:湘ICP备05001139号 今日访问人数:36793 总访问人数:570397211

技术支持:长沙网站建设-国捷人工智能