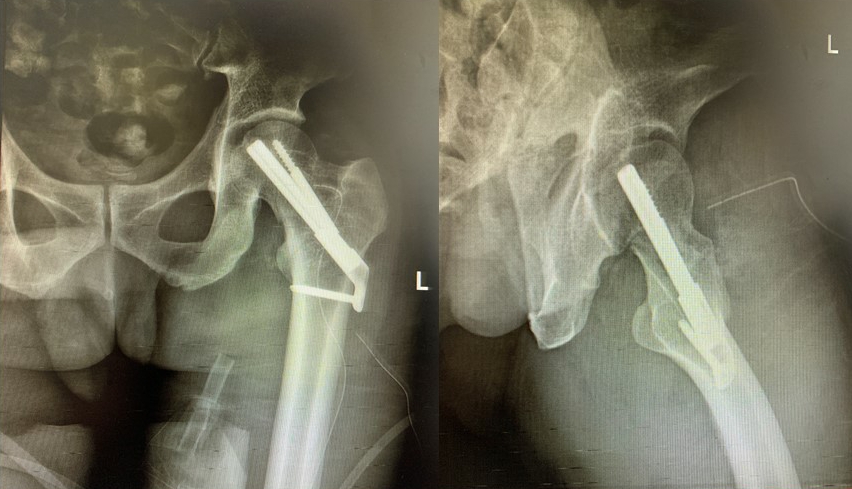
7月13日,中南大学湘雅三医院创伤骨科成功开展了省内第一例利用国际领先的股骨颈骨折内固定技术——股骨颈动力交叉钉(FNS)系统微创治疗股骨颈骨折。该技术创伤更小,稳定性更佳,利于患者恢复。
患者龚某,男性,45岁,因车祸致左侧股骨颈骨折,其家属慕名来到中南大学湘雅三医院创伤骨科。股骨颈骨折常发生于老年人,青壮年股骨颈骨折的发病率虽然较低,但其治疗一直是一项挑战。青壮年病人的股骨颈骨折通常致伤暴力更大,损伤更重,同时股骨头坏死等并发症一旦发生,对患者未来生活质量的影响也更严重。研究发现,青壮年股骨颈骨折的再手术率约为18%,骨不连发生率为9%,股骨头缺血坏死率为14%,置入失败率约为10%。因此,类似本例的年轻股骨颈骨折患者的首次治疗更是尤为关键。

创伤骨科主任罗令带领郭强博士、李骁宁博士等创伤骨科团队成员立即开展讨论,制定了详细周密的手术计划,根据骨折类型及本人意愿,最终决定采用一种新型内固定系统——股骨颈动力交叉钉系统(FNS),力争以最小的创伤获得最坚强的固定效果和最好的预后。整个手术过程顺利,骨折闭合复位和置钉位置均十分理想,术后复查固定效果满意,患者恢复良好。

近年来,中南大学湘雅三医院创伤骨科与手显微外科不仅利用显微外科的独特优势治疗肢体创伤,如利用带旋髂深血管蒂骨瓣对青壮年股骨颈骨折患者实行保髋治疗,且勇于尝试新技术,创新运用新方法为骨折患者解除痛苦,将微创理念切实运用到临床中,造福广大患者。
[上一篇] 多学科团队紧密合作,又一例3个月先天性心脏...
[下一篇] 泌尿外科成功完成医院第一例覆膜支架治疗输...
人民网 | 新华网 | 中华人民共和国国家卫生健康委员会 | 中华人民共和国教育部 | 湖南省政府 | 红网 | 湖南省卫生健康委员会 | 湖南省教育厅 | 中南大学 | 湘雅医学院 | 湘雅医院 | 湘雅二医院 | 协和医院 | 华西医院 | 西京医院 | 瑞金医院 | 复旦中山医院 | 武汉同济医院 | 中山医院
医院地址:湖南省长沙市河西岳麓区桐梓坡路138号 中南大学湘雅三医院 版权所有
湘教QS3-200505-000574 备案序号:湘ICP备05001139号 今日访问人数:124923 总访问人数:570573471